放射線治療前10問
廖志穎醫師
放射腫瘤醫師/癌症輔助醫學
中國醫藥大學台中總院/質子硼中子中心(掛號)
SNQ國家品質標章:智慧整合輔助醫學
美國紐約MSKCC癌症整合醫學進修
休士頓MD ANDERSON癌症整合醫學進修
中國醫藥大學中西醫碩士
Q1.放射線治療原理?
直線加速器加速電子產生高能量X光,穿透身體,破壞腫瘤細胞DNA,造成癌細胞分裂過程中死亡。
![]() |
| 直線加速器產生X光 放射線破壞DNA造成癌細胞死亡 |
新的粒子治療時代:更安全的質子、殺傷力強的重粒子治療
新的迴旋加速器加速帶電荷的粒子,帶有能量的粒子穿透身體到達腫瘤部位,精準的能量釋放在腫瘤深層釋放(布拉格峰),就像深水炸彈一樣在腫瘤引爆,並減少腫瘤後方的正常組織劑量,減少副作用,減少輻射暴露與副作用30-70%。
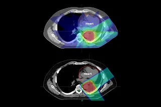
簡易比較:
綠色:質子 紅色:重粒子 藍色 傳統光子
上方:傳統光子 下方:質子治療 減少心臟輻射傷害 (中國醫)
殺傷力:硼中子(3倍)= 重粒子(3倍)、質子(1.1倍) 光子(1倍)
保護正常組織:硼中子、質子 > 重粒子 > 光子
臨床研究:光子> 質子>重粒子、硼中子
並非重粒子可以取代光子,有些癌症部位光子加上影像已經可以治療成效很好了,質子的正常組織安全性高保護免疫系統,重粒子殺傷力強適合頑強的腫瘤。
google廣告
癌友營養中心
Q2.放射線治療方式:
b.少分次高劑量放射治療(hypofraction):每次400-1200cGy,肺肝等寡轉移腫瘤,肝肺等原發無法開刀之小腫瘤(<3cm),攝護腺、乳癌等。
c.放射線手術(radiosurgery):一次性高劑量放射線手術,如腦瘤、聽神經瘤、腦下垂體腫瘤
《放射腫瘤科醫師的良心建議》
放射治療技術、設備日新月異,但大家很容意被光子刀、銳速刀、電腦刀、螺旋刀搞的不知道怎麼選,就像雙B汽車,分好多種車款型號。
以放射源來分:
1.X光:國內90%醫院放療機器皆為直線加速器產生,如光子刀、電腦刀、銳速刀、螺旋刀
2.伽碼射線:伽碼刀(頭部腦為主)、插種、內電射源。
3.質子:氫離子射線,有踩煞車功能,有保護正常器官好處。
健保已提供「強度調控」的放療治療技術
以自費升級來分:
最基本的健保已經提供80-90%的癌症常規治療(基本車款),若想外加些升級,如影像導航(3-6萬,像狙擊手的瞄準系統)360度更多角度照射(弧形刀銳速刀3-6萬,螺旋刀18萬,讓放射線像開車轉彎更順暢,避免正常組織照射),呼吸調控,這些自費項目多為了「減少正常組織照射、治療副作用」為主,治療療效和健保基本款差異不大。
質子治療(中國附醫),目前醫界認定,殺癌細胞力和傳統光子好ㄧ些,但他有個重要優點-Bragg peak,放射線踩煞車功能,讓照射腫瘤處後面的正常細胞,幾乎沒放射劑量,減少傷害。
重粒子-放療的大炮武器(台北榮總),硼中子補獲-精準遙控式放療(中國附醫)。
a:多分次傳統放射線治療: 各醫院與癌症治療中最多使用方式,週一到五天天治療,每天約10-20分鐘,依不同部位療程約1-2個月-->可靠放射線治療治癒腫瘤:鼻咽癌、早期頭頸癌、攝護腺癌、子宮頸癌。目前光子與質子的療程相似,重粒子約4-12次,硼中子約1-2次治療。
b.少分次高劑量放射治療(hypofraction):每次400-1200cGy,肺肝等寡轉移腫瘤,肝肺等原發無法開刀之小腫瘤(<3cm),攝護腺、乳癌等。
c.放射線手術(radiosurgery):一次性高劑量放射線手術,如腦瘤、聽神經瘤、腦下垂體腫瘤
Q3.放射線治療流程:
門診 --> 製作固定模具 -->模擬攝影(定位腫瘤位置) -->電腦計劃 -->開始治療 (共約3-5工作天)
Q4.放射治療該自費嗎?
先了解放射治療區分為:治療系統+定位系統兩個部分
治療系統:
健保有給付傳統的強度調控(IMRT)或3D順型(3DCRT)治療模式,以3-7個角度照射治療,治療時間3-7周不等。
自費為弧形刀(VMAT-Radid arc)或螺旋刀(Tomotherapy),原理以360度多角度方式來治療,順型度比傳統3-7個角度更好(想像雕刻石雕的比較圓潤),治療劑量更能順著腫瘤,減少周圍正常組織傷害~
c.電腦刀(cyberknife):適用少分次放射治療或放射線手術,自費
d.加馬刀(Gamma knife):腦部腫瘤為主,需要釘頭架,健保或自費
門診 --> 製作固定模具 -->模擬攝影(定位腫瘤位置) -->電腦計劃 -->開始治療 (共約3-5工作天)
![]() |
| 模具製作,定位,電腦計畫 3-5工作天 |
放射治療介紹影片
Q4.放射治療該自費嗎?
先了解放射治療區分為:治療系統+定位系統兩個部分
治療系統:
健保有給付傳統的強度調控(IMRT)或3D順型(3DCRT)治療模式,以3-7個角度照射治療,治療時間3-7周不等。
自費為弧形刀(VMAT-Radid arc)或螺旋刀(Tomotherapy),原理以360度多角度方式來治療,順型度比傳統3-7個角度更好(想像雕刻石雕的比較圓潤),治療劑量更能順著腫瘤,減少周圍正常組織傷害~
質子治療與重粒子皆須自費。
定位系統(神槍手開槍前瞄準) :
健保有給付基本三角座標腫瘤定位,通常治療第一天影像定位,之後隔7-10天影像定位一次,其他治療時間靠身上的雷射記號畫線作為治療依據。
自費影像導航(IGRT),天天做影像定位,甚至椎狀電腦斷層掃描(CBCT),更精準對準腫瘤才開始治療,也可以評估腫瘤大小變化的療效,提升精準度3-10mm依部位不等。
需不需要使用自費與效益,可以與醫師詳細討論,有自費和健保差別多少,一般自費都是以減少正常組織傷害為目的。
Q5.放射線治療機器種類(中文名稱繁多,可參考英文名稱)
定位系統(神槍手開槍前瞄準) :
健保有給付基本三角座標腫瘤定位,通常治療第一天影像定位,之後隔7-10天影像定位一次,其他治療時間靠身上的雷射記號畫線作為治療依據。
自費影像導航(IGRT),天天做影像定位,甚至椎狀電腦斷層掃描(CBCT),更精準對準腫瘤才開始治療,也可以評估腫瘤大小變化的療效,提升精準度3-10mm依部位不等。
需不需要使用自費與效益,可以與醫師詳細討論,有自費和健保差別多少,一般自費都是以減少正常組織傷害為目的。
Q5.放射線治療機器種類(中文名稱繁多,可參考英文名稱)
a.直線加速器(Linac accelerator) :全台灣醫院最多使用,也是多分次放射治療機器大宗,主要Varian和Elekta兩大廠牌,旗下機種眾多,就像雙B車一樣功能陽春到高階,多數有附自費的"影像導航系統 IGRT"與VMAT/Rapid arc 弧狀治療,費用 3-7萬不等。
![]() |
| 參考:台中醫院Elekta Synergy 最新影像導航系統 |
b.螺旋光子刀(tomotherapy):自費 15-20萬,360度弧形治療跟Rapid Arc、VAMT原理類似。
![]() |
| 採用CT掃描的原型設計 |
c.電腦刀(cyberknife):適用少分次放射治療或放射線手術,自費
![]() |
| cyberknife |
e.質子治療機:最安全的筆尖是放射治療,大幅減少輻射副作用30-70%
Q7.放射線治療會跟化療一樣掉頭髮??
A:不會,放射線治療是局部治療,照哪裡"傷"哪裡,局部組織傷害。
Q8.放射線治療會很痛?
A:不會,放射線治療不是用電電你,X光線治療時沒有感覺。
Q9.放射線治療會讓你變成輻射人?
A:不會,放射線治療產生的放射物質,在停止治療當下立即消失。
Q10.放射線治療的副作用?
A:因照射部位不同,照射器官不同而有不同的副作用。
如:頭頸腫瘤 (口乾、嘴破、皮膚),乳房(皮膚),肺/食道(肺炎、食道炎、心包膜炎)、腹部(腹瀉、腹痛、潰瘍)、骨盆(頻尿、腹瀉、血便/尿)。
看起來很可怕,但別擔心,現代儀器進步,在醫師評估下,都能有效讓副作用在15-20%以下喔!
放射治療技術、設備日新月異,但大家很容意被光子刀、銳速刀、電腦刀、螺旋刀搞的不知道怎麼選,就像雙B汽車,分好多種車款型號。
以放射源來分:
1.X光:國內90%醫院放療機器皆為直線加速器產生,如光子刀、電腦刀、銳速刀、螺旋刀
2.伽碼射線:伽碼刀(頭部腦為主)、插種、內電射源。
3.質子:氫離子射線,有踩煞車功能,有保護正常器官好處。
健保已提供「強度調控」的放療治療技術
以自費升級來分:
最基本的健保已經提供80-90%的癌症常規治療(基本車款),若想外加些升級,如影像導航(3-6萬,像狙擊手的瞄準系統)360度更多角度照射(弧形刀銳速刀3-6萬,螺旋刀18萬,讓放射線像開車轉彎更順暢,避免正常組織照射),呼吸調控,這些自費項目多為了「減少正常組織照射、治療副作用」為主,治療療效和健保基本款差異不大。
質子治療(中國附醫),目前醫界認定,殺癌細胞力和傳統光子好ㄧ些,但他有個重要優點-Bragg peak,放射線踩煞車功能,讓照射腫瘤處後面的正常細胞,幾乎沒放射劑量,減少傷害。
重粒子-放療的大炮武器(台北榮總),硼中子補獲-精準遙控式放療(中國附醫)。


.jpg)










